Entrevista a Ângelo Nobre

00:03:32

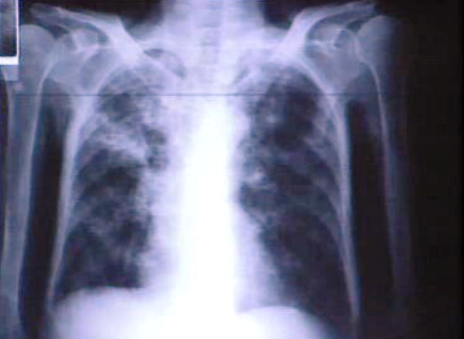
Jornalista João Tomé Carvalho entrevista em estúdio Ângelo Nobre, cirurgião cardiotorácico, sobre o diagnóstico e tratamento do cancro do pulmão.

  • Nome do Programa: Notícias do dia 01/08/2017
  • Nome da série: Noticiário diário do ano de 2017
  • Locais: Lisboa
  • Personalidades: João Tomé de Carvalho
  • Temas: Ciência e Tecnologia, Saúde
  • Canal: RTP 1
  • Tipo de conteúdo: Notícia
  • Cor: Cor
  • Som: Stereo
  • Relação do aspeto: 16:9 PAL

Termos e condições de utilização

Os conteúdos disponíveis estão protegidos por direitos de propriedade industrial e direitos de autor. É expressamente proibida a sua exploração, reprodução, distribuição, transformação, exibição pública, comunicação pública e quaisquer outras formas de exploração sem a autorização prévia da RTP. O acesso aos conteúdos tem como único propósito o visionamento privado e educacional sem fins comerciais. Para mais informações, entre em contato com o arquivo da RTP através do seguinte endereço de correio eletrónico: arquivo@rtp.pt .